Composite Bonding in Dover

Gentle, Natural-Looking Smile Enhancements at Dover Priory Dental

At Dover Priory Dental, we understand how important your smile is—not just to your appearance, but to your confidence and wellbeing. That’s why we offer composite bonding, a safe, pain-free and versatile cosmetic treatment designed to enhance your smile with care, precision, and a truly personal touch.

Whether you’re looking for a small, subtle improvement or a complete smile makeover, composite bonding offers beautiful, natural-looking results in as little as one visit.

Book an Appointment

What Is Composite Bonding?

Composite bonding is a minimally invasive cosmetic procedure that involves applying a tooth-coloured resin to the surface of your teeth. The material is artistically shaped and polished by your dentist to improve the look of your smile—without the need for drilling, injections, or permanent changes to your natural teeth.

What Can Composite Bonding Fix?

  • Chipped or worn-down teeth
  • Gaps between teeth
  • Uneven edges or misshapen teeth
  • Discolouration or surface flaws
  • Minor alignment and proportion issues

From small touch-ups to dramatic smile transformations, composite bonding is a highly adaptable solution tailored to your unique needs.

A Gentle, Patient-Focused Approach

We know that visiting the dentist can feel daunting for some. At Dover Priory Dental, we’re here to put you at ease. Our team takes the time to listen carefully, explain every step clearly, and ensure you feel fully relaxed and confident throughout your treatment.

Your comfort is our priority, and many patients are surprised at just how quick, gentle and effective composite bonding can be.

Why Choose Dover Priory Dental for Composite Bonding?

  • Compassionate, personalised care from experienced clinicians
  • Trusted local reputation in the heart of Dover
  • Exceptional attention to detail for natural results
  • No drilling or injections in most cases
  • Affordable and long-lasting cosmetic option
  • One-visit smile improvements

Is Composite Bonding Right for You?

Whether you’re looking to correct a single tooth or completely refresh your smile, we’ll guide you through your options with honesty and care. During your consultation, we’ll assess your goals and create a bespoke treatment plan that’s right for you.

Book an Appointment

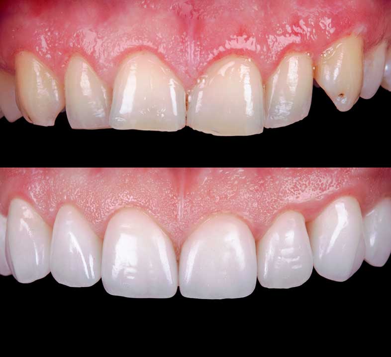
Before After Gallery

The Dotty about Smiles Plan

Just £22.50pm via direct debit for over 16s

  • 2 x Dental Health Examinations per annum charged at £58.00 each for non-plan patients
  • 2 x Hygiene appointments (Cleaning) per annum charged at £85.00 each for non-Plan patients
  • X-rays (as necessary) charged at £19.00 each for non-plan patients
  • Priority appointments including Saturdays*
  • Dental wellness advice and instruction
  • 10% discount on all other private treatment needed
  • Worldwide Accident and Emergency Cover
  • 2 x Emergency consultations per annum charged at £40.00 each for non-plan patients
  • Additional benefits for parents of young children**

* Subject to availability

** Two parents on the plan will be able to get two children under 16 on the Kids’ Plan at no additional cost.

The Dotty about Smiles Kids Plan

Just £11pm via direct debit for under 16s

  • 2 x Dental Health Examinations per annum charged at £30.00 each for non-plan patients
  • Fluoride treatment (as necessary)
  • Dental wellness advice and instruction
  • Priority appointments including Saturdays*
  • X rays as necessary
  • 15% discount on other treatment needed
  • 2 x Emergency consultations per annum
  • Worldwide Accident and Emergency Cover

* Subject to availability

Composite Bonding FAQs

How long does the treatment take?

Most treatments are completed in just one visit, usually within 1 to 2 hours, depending on how many teeth are treated.

How long does composite bonding last?

With good oral hygiene and care, composite bonding can last between 4 to 8 years. We’ll guide you on how to maintain your results.

Is composite bonding suitable for everyone?

We’ll assess your teeth and discuss your goals during your consultation to ensure bonding is the right option for you.

How do I care for my bonded teeth?

Maintain good oral hygiene, avoid biting hard objects, and limit staining foods and drinks like coffee or red wine. Regular check-ups help keep your bonding in top condition.

Restore the confidence behind every smile you share

A Range of Orthodontic Treatments for Adults and Children
Book Appointment
Valerie Faux reviewer avatar
Valerie Faux

2 months ago

Google Review Logo

I feel very relaxed going to the Dental surgery. Mike has been fantastic and really puts me at ease. A warm, friendly atmosphere and pain free treatme… Read More

Karen Fucella reviewer avatar
Karen Fucella

3 months ago

Google Review Logo

The team at Dover priory Dental changed my entire perspective on dental visits. My anxiety is completely gone! From the moment I walked in, I was gree… Read More

Fiona Larner reviewer avatar
Fiona Larner

a month ago

Google Review Logo

Theo and the whole team at Dover Priory Dental are fantastic! I went to them with an emergency issue, but was also unsure about what sorting it would … Read More

Karen Buggins reviewer avatar
Karen Buggins

2 months ago

Google Review Logo

I am a new patient of Dover Priory Dental Practice. Registering was simple and I was seen quickly with a good choice of appointments. The receptionis… Read More

Stuart Piddock reviewer avatar
Stuart Piddock

4 months ago

Google Review Logo

This is hands-down the best and most friendly dental practice I’ve ever been to, I wouldn’t go anywhere else. Chloe at reception is always welcomin… Read More

Call Now WhatsApp Book Now
Chat with us on WhatsApp