Replacing Missing Teeth in Dover

Modern, Compassionate Dental Care

Missing teeth can affect more than just your appearance — they can impact your ability to eat comfortably, speak clearly, and smile with confidence. At Dover Priory Dental, we combine the latest dental technology with genuine, compassionate care to provide bespoke solutions for replacing missing teeth.

Whether you’re missing one tooth or several, we’re here to help you feel confident and comfortable every step of the way.

Book an Appointment

Why It’s Important to Replace Missing Teeth

A gap in your smile may seem minor at first, but over time it can lead to:

  • Movement or misalignment of nearby teeth
  • Difficulty eating certain foods or speaking clearly
  • Bone loss in the jaw
  • Aged appearance due to loss of facial support
  • Greater risk of further tooth loss

Replacing missing teeth not only restores the function and appearance of your smile, but also helps preserve your long-term oral health.

Tooth Replacement Options Tailored to You

We offer a full range of modern tooth replacement treatments, carefully planned to suit your individual needs and preferences:

  1. Dental Implants
    Our most advanced option — implants are small titanium posts placed into the jaw to replace the root of a missing tooth. They are then restored with a beautifully crafted crown that looks and feels just like a natural tooth. Implants are long-lasting, stable, and help preserve bone and facial structure. We offer dental implants in collaboration with trusted local experts to ensure the highest standard of care.
  2. Dental Bridges
    Bridges are a great solution for filling gaps caused by one or more missing teeth. They are fixed in place using neighbouring teeth or implants for support, offering a reliable and aesthetic result.
  3. Dentures (Full & Partial)
    Our modern dentures are designed for comfort, function and appearance. Whether you need a full or partial denture, we ensure a secure fit and natural look using high-quality, lightweight materials.

Experience the Dover Priory Dental Difference

At Dover Priory Dental, we pride ourselves on delivering personalised, high-quality care in a relaxed and welcoming environment. From your initial consultation to the final result, we focus on your comfort, your goals, and your long-term oral health.

Our team uses the latest materials and techniques to ensure your treatment is as effective, minimally invasive, and aesthetically pleasing as possible.

Book an Appointment

Take the First Step Towards a Complete Smile

If you’re missing teeth, there’s no need to struggle in silence. Our friendly team is here to guide you through your options and help you find a solution that feels right for you.

Book an Appointment

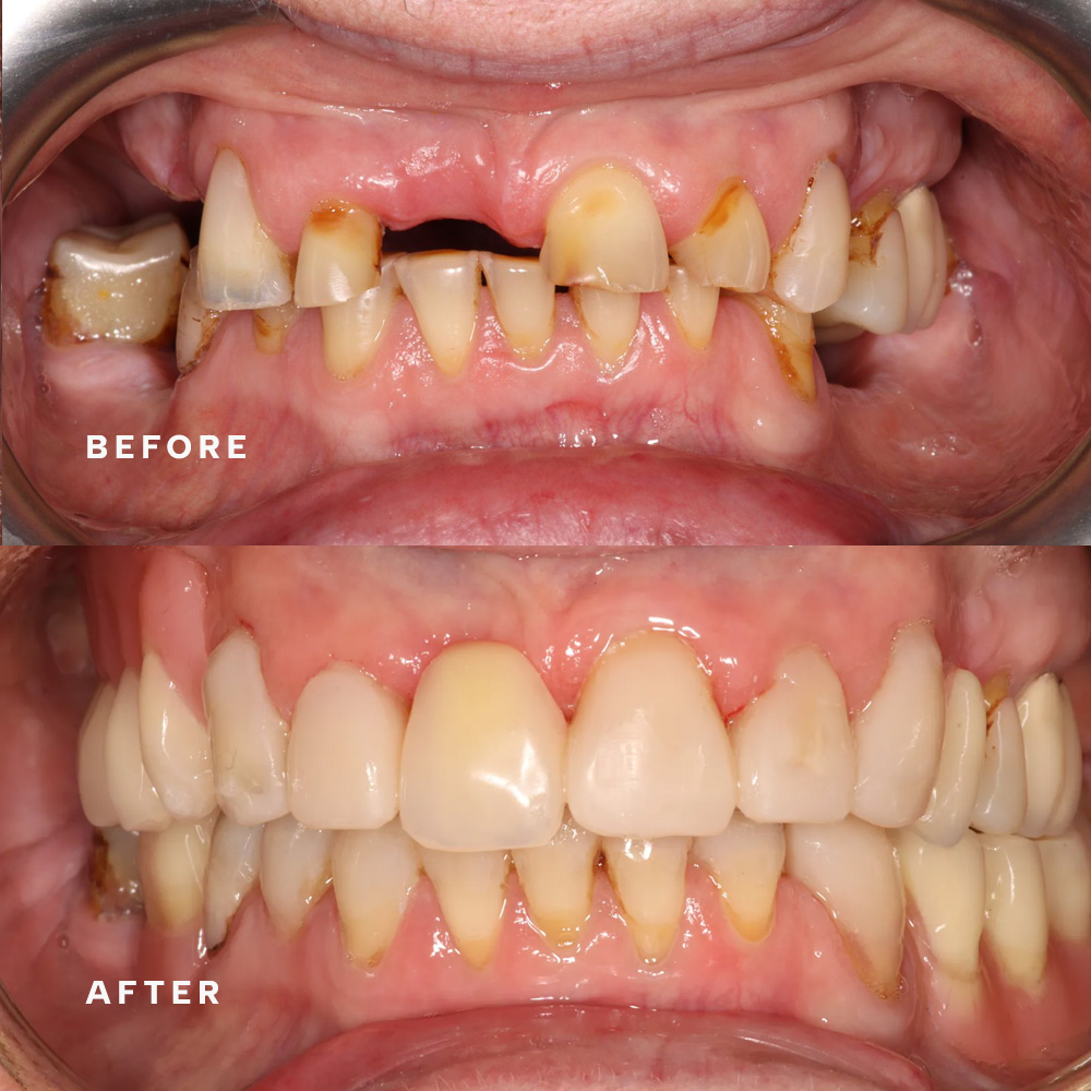
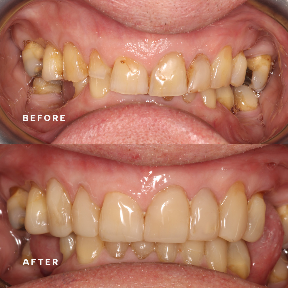
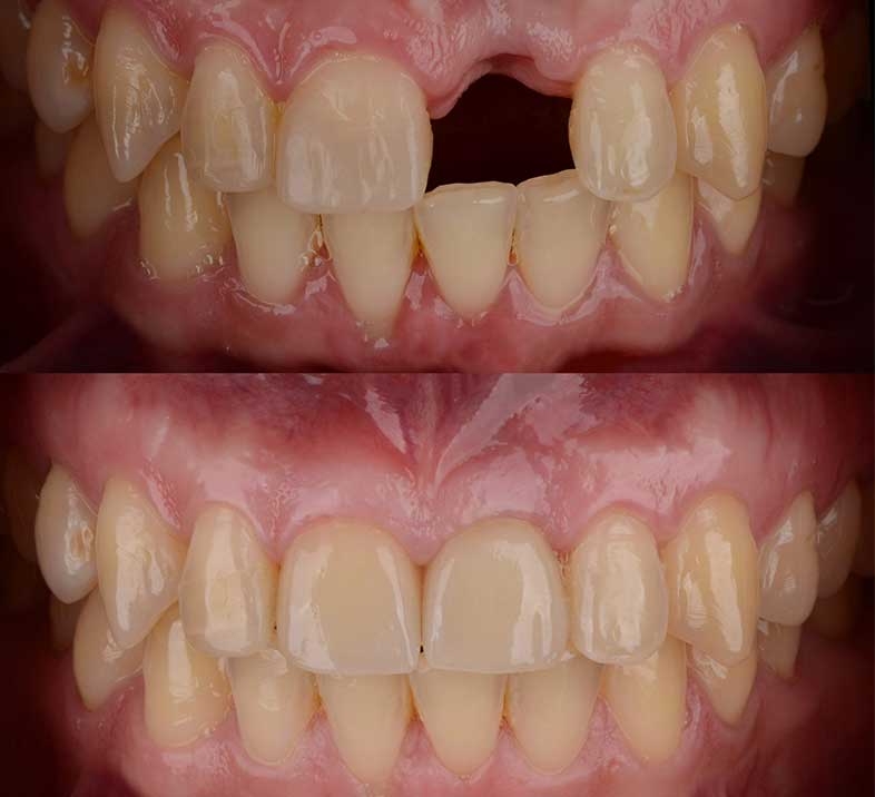
Before After Gallery

The Dotty about Smiles Plan

Just £22.50pm via direct debit for over 16s

  • 2 x Dental Health Examinations per annum charged at £58.00 each for non-plan patients
  • 2 x Hygiene appointments (Cleaning) per annum charged at £85.00 each for non-Plan patients
  • X-rays (as necessary) charged at £19.00 each for non-plan patients
  • Priority appointments including Saturdays*
  • Dental wellness advice and instruction
  • 10% discount on all other private treatment needed
  • Worldwide Accident and Emergency Cover
  • 2 x Emergency consultations per annum charged at £40.00 each for non-plan patients
  • Additional benefits for parents of young children**

* Subject to availability

** Two parents on the plan will be able to get two children under 16 on the Kids’ Plan at no additional cost.

The Dotty about Smiles Kids Plan

Just £11pm via direct debit for under 16s

  • 2 x Dental Health Examinations per annum charged at £30.00 each for non-plan patients
  • Fluoride treatment (as necessary)
  • Dental wellness advice and instruction
  • Priority appointments including Saturdays*
  • X rays as necessary
  • 15% discount on other treatment needed
  • 2 x Emergency consultations per annum
  • Worldwide Accident and Emergency Cover

* Subject to availability

Replacing Missing Teeth FAQs

Can missing teeth affect my health?

Yes, missing teeth can lead to issues such as shifting of surrounding teeth, bite problems, difficulty chewing, jawbone loss, and even changes to facial appearance. Replacing missing teeth helps maintain oral health and facial structure.

Are dentures comfortable?

Comfort levels can vary from person to person, especially in the early stages of getting used to dentures. However, modern dentures are significantly more advanced than they used to be — lighter, more natural-looking, and better fitting. At Dover Priory Dental, we take great care to ensure your dentures are expertly tailored to your mouth for the best possible fit and comfort. Most patients adapt well over time, but we’re always here to make adjustments if needed.

What is the best way to replace a missing tooth?

The best way to replace a missing tooth depends on your oral health, budget, and personal preferences. Dental implants are often considered the gold standard due to their durability and natural appearance. However, dental bridges and dentures are also effective and reliable options.

How long does a dental implant take from start to finish?

The full dental implant process usually takes between 3 to 6 months, but this can vary depending on your individual case. Factors such as the need for bone grafting, healing time, and how quickly your implant integrates with the jawbone can all affect the timeline. While it’s not an overnight solution, the results are long-lasting — with proper care, dental implants can last for decades, often a lifetime.

Valerie Faux reviewer avatar
Valerie Faux

2 months ago

Google Review Logo

I feel very relaxed going to the Dental surgery. Mike has been fantastic and really puts me at ease. A warm, friendly atmosphere and pain free treatme… Read More

Karen Fucella reviewer avatar
Karen Fucella

3 months ago

Google Review Logo

The team at Dover priory Dental changed my entire perspective on dental visits. My anxiety is completely gone! From the moment I walked in, I was gree… Read More

Fiona Larner reviewer avatar
Fiona Larner

a month ago

Google Review Logo

Theo and the whole team at Dover Priory Dental are fantastic! I went to them with an emergency issue, but was also unsure about what sorting it would … Read More

Karen Buggins reviewer avatar
Karen Buggins

2 months ago

Google Review Logo

I am a new patient of Dover Priory Dental Practice. Registering was simple and I was seen quickly with a good choice of appointments. The receptionis… Read More

Stuart Piddock reviewer avatar
Stuart Piddock

4 months ago

Google Review Logo

This is hands-down the best and most friendly dental practice I’ve ever been to, I wouldn’t go anywhere else. Chloe at reception is always welcomin… Read More

Call Now WhatsApp Book Now
Chat with us on WhatsApp