Restoring Worn Down Teeth in Dover

Treating Worn Down Teeth

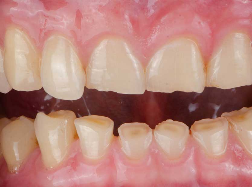
Worn teeth don’t just affect how your smile looks — they can lead to sensitivity, difficulty eating, jaw pain, and even premature ageing of the face. At Dover Priory Dental, we help restore worn teeth to protect your health, function, and confidence.

Book an Appointment

Common Causes of Tooth Wear

  • Grinding or clenching (bruxism)
  • Acid erosion from diet or reflux
  • Age-related wear
  • Bite misalignment or missing teeth

If left untreated, worn teeth can become weakened, cracked, or sensitive, and may affect your bite and facial structure.

Before After Gallery

The Dotty about Smiles Plan

Just £22.50pm via direct debit for over 16s

  • 2 x Dental Health Examinations per annum charged at £58.00 each for non-plan patients
  • 2 x Hygiene appointments (Cleaning) per annum charged at £85.00 each for non-Plan patients
  • X-rays (as necessary) charged at £19.00 each for non-plan patients
  • Priority appointments including Saturdays*
  • Dental wellness advice and instruction
  • 10% discount on all other private treatment needed
  • Worldwide Accident and Emergency Cover
  • 2 x Emergency consultations per annum charged at £40.00 each for non-plan patients
  • Additional benefits for parents of young children**

* Subject to availability

** Two parents on the plan will be able to get two children under 16 on the Kids’ Plan at no additional cost.

The Dotty about Smiles Kids Plan

Just £11pm via direct debit for under 16s

  • 2 x Dental Health Examinations per annum charged at £30.00 each for non-plan patients
  • Fluoride treatment (as necessary)
  • Dental wellness advice and instruction
  • Priority appointments including Saturdays*
  • X rays as necessary
  • 15% discount on other treatment needed
  • 2 x Emergency consultations per annum
  • Worldwide Accident and Emergency Cover

* Subject to availability

Restoring Worn Down Teeth FAQs

Is restoring worn teeth just cosmetic?

Not at all. While it improves aesthetics, it also restores function, prevents further damage, and protects the long-term health of your teeth.

Can I restore my teeth if I’ve had them worn down for years?

Absolutely. Even teeth that have been worn for years can often be restored with the right combination of restorative and cosmetic dentistry.

Can worn teeth be prevented?

Yes. Using a nightguard for bruxism, avoiding acidic foods and drinks, and maintaining proper oral hygiene can help prevent further wear.

How long do restorations for worn teeth last?

With proper care, restorations like crowns or veneers can last 10–15 years or more. Composite bonding typically lasts 5–7 years and may require occasional touch-ups.

Restore the confidence behind every smile you share

A Range of Orthodontic Treatments for Adults and Children
Book Appointment
Valerie Faux reviewer avatar
Valerie Faux

2 months ago

Google Review Logo

I feel very relaxed going to the Dental surgery. Mike has been fantastic and really puts me at ease. A warm, friendly atmosphere and pain free treatme… Read More

Karen Fucella reviewer avatar
Karen Fucella

3 months ago

Google Review Logo

The team at Dover priory Dental changed my entire perspective on dental visits. My anxiety is completely gone! From the moment I walked in, I was gree… Read More

Fiona Larner reviewer avatar
Fiona Larner

a month ago

Google Review Logo

Theo and the whole team at Dover Priory Dental are fantastic! I went to them with an emergency issue, but was also unsure about what sorting it would … Read More

Karen Buggins reviewer avatar
Karen Buggins

2 months ago

Google Review Logo

I am a new patient of Dover Priory Dental Practice. Registering was simple and I was seen quickly with a good choice of appointments. The receptionis… Read More

Stuart Piddock reviewer avatar
Stuart Piddock

4 months ago

Google Review Logo

This is hands-down the best and most friendly dental practice I’ve ever been to, I wouldn’t go anywhere else. Chloe at reception is always welcomin… Read More

Call Now WhatsApp Book Now
Chat with us on WhatsApp